
İsrail Ordu Sözcüsü Avichay Adraee, Amerikan X şirketinin sosyal medya platformundan, söz konusu caddenin kapatılması başlıklı açıklama yayımladı. Gazze Şeridi’nin batısında yer alan ve güney il...
Aralarında en önemli Fransız öğrenci sendikalarından Öğrenci Birliği’nin de yer aldığı Avrupa’daki farklı ülkelerdeki öğrenci ve gençlik örgütleri, Küresel Kararlılık Filosu’na deste...
BILD’in aktardığı bilgilere göre kentte birden fazla patlama meydana geldi, ayrıca silah sesleri duyuldu. Saat 04.40 sularında itfaiyeye gelen ilk ihbar bir ev yangınına ilişkindi. Olay yerine varılma...
İşgalci İsrail’in ablukasını kırmak için Gazze’ye doğru hareket eden Küresel Kararlılık Filosu, Gazze’ye yaklaştı. Filonun yolculuğuna dair Telegram hesabından yapılan daha önceki ya...
Dün 66,78 dolara kadar yükselen Brent petrolün varil fiyatı, günü 66,01 dolar seviyesinde tamamladı. Brent petrolün varil fiyatı, bugün saat 09.16 itibarıyla yüzde 0,13 artarak 66,10 dolar oldu. Aynı ...
Küresel Kararlılık Filosu’nda bulunan ve ismi paylaşılmayan Al Jazeera muhabirinin açıklamasına göre, İsrail’e ait bir gemi, filoya liderlik eden Alma gemisinin çok yakınına kadar yanaştı....
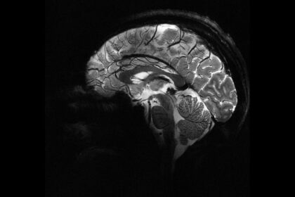
Epilepsiye farklı nedenler yol açsa da, vakaların yaklaşık yüzde 30’u beyindeki yapısal anormalliklerden kaynaklanıyor. Ancak bu lezyonlar, özellikle de beynin kıvrımlarının derinliklerinde saklı olan...
İspanya resmi haber ajansı EFE’nin Başbakanlık kaynaklarına dayandırarak verdiği habere göre, hükümet, Küresel Kararlılık Filosu’na İsrail askerlerinin olası müdahalesine karşı “yüks...
Sao Paulo Eyalet Üniversitesi’nden gökbilimci Valerio Carruba, yaptıkları araştırmanın, mevcut gözlem araçlarıyla görülemeyen ancak potansiyel olarak tehlikeli bir asteroid nüfusunu ortaya koyduğunu s...
Ülkede salı gece yarısı itibarıyla 2025 mali yılı sona ererken, federal hükümete finansman sağlayacak bütçe üzerinde anlaşmaya varılamadı. Federal kamu kuruluşlarının faaliyetlerini sürdürmesini sağla...
















