
İngiltere’de Oxford Üniversitesi araştırmacıları tarafından beyni daha hızlı yaşlandırabilecek risk faktörleri incelendi. İnceleme kapsamında demansa neden olan en zararlı 3 faktör açıklandı.
Bu faktörler diyabet, trafiğe bağlı hava kirliliği ve alkol tüketimi olarak belirlendi.
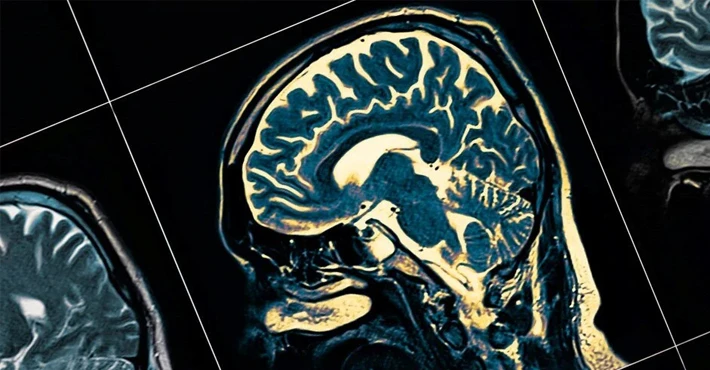
Genetik ve değiştirilebilir risk faktörlerinin yaşlanma ve hastalıklara karşı savunmasız beyin bölgeleri üzerindeki etkileri araştırıldı. Çalışma kapsamında 45 yaş üstü 40 bin katılımcının beyin MR’ları incelendi.
161 AYRI RİSK FAKTÖRÜ VAR
Araştırmacılar yaşlanmanın insan vücudundaki doğal etkilerinin dışında demansa sebep olabilecek 161 risk faktörün hassas beyin ağı üzerindeki etkilerini sıraladı.
Diyabet, trafiğe bağlı hava kirliliği ve alkol tüketiminin demans için değiştirilebilir 15 risk faktörü arasından en zararlı olanları olduğu ortaya çıktı.
Beynin belirli bölümlerinin, demansın risk faktörleri arasında bu 3 faktöre karşı en savunmasız olduğu görüldü.
Demansa yol açabilecek diğer faktörler arasında tansiyon, kolesterol, diyabet, kilo, sigara tüketimi ve uyku gibi maddeler de yer aldı.
Demans için en kritik risk faktörlerinden bazılarına ışık tutan çalışmanın gelecekteki bu hastalığın tedavisine yönelik stratejilere katkıda bulunabileceği belirtildi.










